






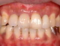
入れ歯やブリッジとは違い、他の健康な天然歯に悪影響を
与えることなく、天然歯と変わらない機能を得ることができます。
失ってしまった歯を、もう一度手に入れてみませんか?
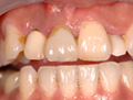
■ブリッジ |
||||||||
|
||||||||
■部分入れ歯 |
||||||||
|
||||||||
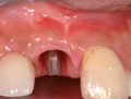
■インプラント |
||||||||
|
||||||||
1:説明・相談 |
インプラント治療の相談&説明をします。 |
![]() |
2:1次手術 |
インプラントを顎の骨に植え込む1次手術をします。 |
![]() |
3:歯列の型取り |
印象採取(歯列の型をとる)をします。 |
![]() |
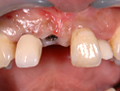
4:アバットメントの装着 |
人工歯と連結させるアバットメントを装着します。 |
![]() |
5:装置の装着 |
人工歯を装置して完了です。 |
当院では、世界のインプラント市場ナンバー1のシェアを持つ |
|
ストローマン社を選ぶ理由 |
|
それは、科学的な根拠に重きをおく研究開発や、 また、ストローマンインプラントは、 |
|
科学的な根拠が示す高い品質と信頼性 |
|
ストローマンインプラントの高い品質と信頼性は、長期的な治療の成績によって裏付けされています。 <ストローマンインプラントに関する10年間の研究報告>
成功率:インプラントとしての一定の機能(噛む、見た目など)を果たしているかを示す値 |
|